きれいな歯並び≠ 良い歯並び
「歯並びが良いこと」=「噛み合わせが良い」とは限りません
▼歯並びが良い事(見た目)と噛み合わせ(機能面)が良いことは同じではありません。実際、矯正治療によって歯並びが綺麗に改善されたにも関わらず、噛み合わせが合っていないというケースは少なくありません。以下では、実際の治療例を基に「きれいな歯並び」が「良い歯並び」ではない理由について解説したいと思います。
【Case1】
他院にて、小臼歯を4本抜歯して矯正した患者さまです。一見すると、歯並びは綺麗に見えますが、噛み合わせてみると・・・
奥歯しか当たらず、前歯が全く当たっていません。これでは、前歯で物を噛み切る事ができないのは勿論、奥歯に負担がかかってしまいます。歯並びが綺麗だからと言って、噛み合わせが良いとは限らないのです
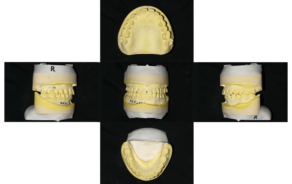
【Case2】
こちらは別の患者さまです。真ん中に少し隙間がありますが、一見すると歯並びは良さそうに見えます。
実際に噛み合わせてを見てみると、上下の真ん中がズレており、前歯の噛み込みも深いことが分かります。
偏心運動 顎をズラしてみると・・・
【左:Mediotrusion.Left 顎を右に動かした状態】
【中:Protrusion 顎の前方運動】
【右:Mediotrusion.Right 顎を左に動かした状態】
一般的に正しい噛み合わせの場合、顎を左右に動かしたときに奥歯が強く接触しないことが理想です。
こちらの患者さまは赤色で示した部分が接触しているため、無意識のうちに異常な負荷が掛かり続けている噛み合わせになっているようです。
噛み合わせの診査
レントゲンや模型により、噛み合わせの診査をします。
【パントモ評価】
下顎枝・下顎頭 左右差
下顎枝(黄色矢印)、下顎頭(赤丸)の形態的左右差があります。
ICP(咬頭嵌合位)
前歯歯間離開、前歯過蓋咬合(深い噛み合わせ)が確認できます。
【平面バイト評価】
咬合平面:左右の高さに差があります。
【切端位評価】
上顎中切歯が特に高くなっているのが分かります。
TRP【治療顎位】理想と思われる噛み合わせの位置
右関節1.0㎜減圧(高くする)・前下方誘0.5mm
噛み合わせの高さを獲得しながら、関節の突き上げを抑制し、下顎骨体の左右差を調整する治療顎位です。
問題点 (Problem list)
客観的問題(Objective Problem)
歯間離開
前歯過蓋咬合
低位咬合
運動時の臼歯干渉
下顎の動きが大きく強いことがあるためか、上顎の前歯が開いています。また、前歯の噛み込みが深く、下顎の動きを抑制する構造になっていて、それぞれは相関関係があるようです。奥歯の過剰な接触は、大きく強い筋肉を緊張させ、様々な不定愁訴(明確な原因が分からず、肩こり・目まい・腰痛など体の不調を訴えること)を作り出す原因になります。
矯正治療術前後の比較
【術前】
【術後】
【矯正治療前 2019.10.2】
【矯正治療後 2021.10.14】
歯間離開が治り、噛み合わせのバランスが整いました。
偏心運動
【矯正治療前 2019.10.2】
【矯正治療後 2021.10.14】
マウスピース矯正で手軽に矯正が出来る様になりましたが、歯並びと噛み合わせの関係をしっかり診査せずに治療を行うと、見た目は美しくても、機能しない噛み合わせとなってしまう事があります。
噛み合わせは、顎の関節に負担をかけず、舌や口唇、頬の筋肉の動きと調和が取れて、顎の動きをスムーズにし、 前歯が奥歯を、奥歯が前歯をお互いに守り合うような、機能的な噛み合わせが構築される事が理想です。
正しい噛み合わせ、顎の位置を獲得すれば、呼吸環境が良くなってイビキが減ったり、頭を前に出さなくても、 スムーズに呼吸できようになって、姿勢が良くなったり、しっかり物を噛み砕いて食べる事ができるので、栄養をきちんと取れるようになり、全身の健康に繋がっていきます。
もちろん、正しい噛み合わせができれば、歯並びもよくなる事は言うまでもありません。 機能的かつ、審美的な噛み合わせをご提供いたします。




























