歯並びは良いけれど噛み合わせが悪いケース
歯並びは良いけれど噛み合わせが悪いケースの解説と具体的分析
▼歯並びは良いけれど噛み合わせが悪いケースについての解説・具体的な分析をご紹介します。
頭位・顔貌について
【頭位】頭位左傾斜・右旋回・左肩上がり
頭位補正-1°
【顔貌】
- N・L・A、Eライン:正常範囲
- メンターリス・サルカス(下唇の折り返し):下唇折り返し強い
- 鼻中隔:右湾曲
- オトガイ緊張
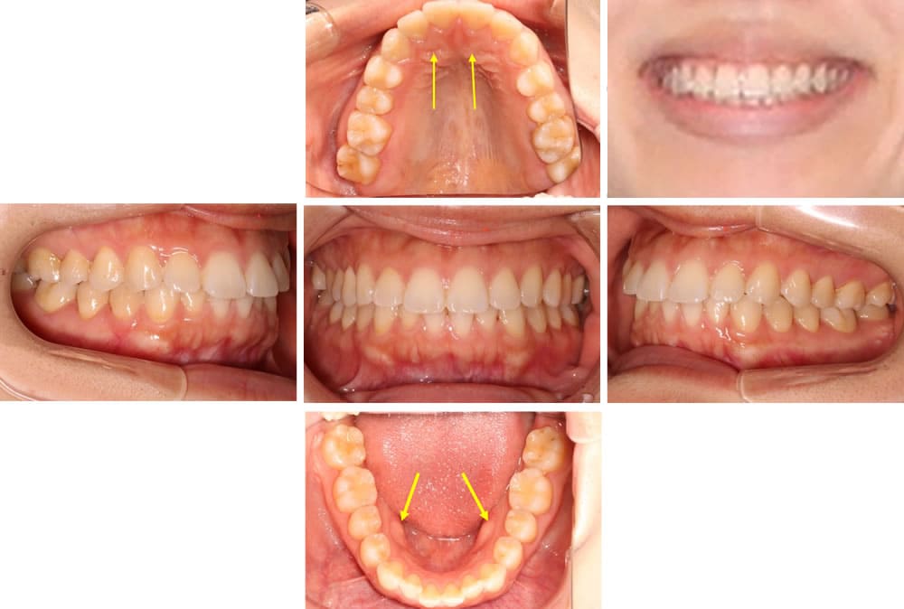
口腔内写真
現象として
- 骨隆起
- ディープバイト傾向
偏心運動
【偏心運動で臼歯干渉】 奥歯が接触する
- 生理運動で異常運動を誘発
- 閉口筋の異常緊張を誘発
Mallampati分類
最大開口して、声を出さずに舌を最大限前方に出した状態での口蓋垂の見え方
睡眠時、無意識下での呼吸環境に影響
MFA施術カードの問診
▼画像はクリックで拡大します
不定愁訴
▼画像はクリックで拡大します
セファログラム分析
- 頸椎:ストレートネック
- 舌位:TypeⅡdiv2(低位舌位) 舌が上顎についていません
- 舌骨:C4C5(強い下降)
※S(セラ)点(黄◯)の形状が後方に押しつぶされていることから、下顎の強い突き上げがあることが考えられます
▼画像はクリックで拡大します
▼画像はクリックで拡大します
- 気道:強い狭窄
- 上咽頭部:(平均18.0mmに対して18.2mm)
- 赤矢印:PNS強い下降による CLⅡ評価 (下顎後退ではない)
【治療ベクトル】
- 平面FLAT・下顎前方回転
- 顎関節突き上げ抑制
Study Model分析
【パントモ評価】
【治療ベクトル】
- 上顎平面 垂直的左右差 (左の緊張を誘発)
- 下顎角 骨添加 (噛みしめ)
- 下顎臼歯近心傾斜 (生理運動時の干渉)
模型による分析
【問題点】
- アーチ狭窄
- 上顎平面左右差
- 後方回転
問題点 (Problem list)
【問題点】
- アーチ狭窄
- 上顎平面左右差
- 後方回転
・「歯列で作られるアーチが狭いです」
上顎の歯列狭窄は、舌が上顎についていることが少なくなります。 低位舌は気道狭窄を作り出すため、頸椎形状を悪化させ呼吸環境に影響します。 そのため睡眠時の顎運動を増長させて、頭頚部(首や肩)の緊張が誘発されること が多くなります。
・「上顎の平面に垂直的な左右差があります」(左側が低い)
上顎平面の垂直的な左右差は、下顎から受ける負荷(閉口筋)の左右差を作り、側頭骨へアンバランスな負荷を与えます。⇒蝶形骨の捩じれ
・「下顎の後方回転」
中顔面部の垂直過成長によって下顎が下方におしさげられていて、標準的な骨格 評価的にも下顎が後方に回転しています。下顎の後方回転は顎関節の突き上げ ともいわれ、やはり側頭骨への異常負荷を与え続けます。
Treatment Plan 3次元矯正(目安:1年半~2年半)
- 拡大床
- 3次元矯正(アンカースクリュー)
- リテーナー
本来あるべきアーチの大きさを獲得し、生理運動しやすい正常な環境にしながら、下顎を前方回転方向へ誘導する3次元矯正をおこないます。
上顎平面の左右差は構造的に大きな問題であるため、しっかり治すためにアンカースクリューを用いて治療します。
3次元機能矯正は一般的な審美矯正とは異なるため、生体の反応をみながら時間を掛けて誘導するため、生体に優しい治療法といえます。
※この矯正では、顎の誘導のため矯正期間中はゴムを装着してもらいます。
Treatment Plan インビザライン
- 拡大床
- インビザライン
- リテーナー
透明なマウスピースを装着して歯を動かしていく、審美性に特化した新しい矯正法です。
矯正初期の「ゆらし効果」、「狭窄アーチの拡大」については、拡大床で拡げ、その後、マウスピースで誘導していきます。審美的に特化した矯正法で、見た目には矯正していることが分かりません。
インビザラインは、一日14~17時間装着し、写真にある「チューイー」をしっかり噛む時間をつくります。
矯正治療前後の変化について
【矯正治療前 2018.8.14】
【矯正治療後 2021 .2.13】
矯正治療前後の顔貌・姿勢・歯並びの比較
顔貌の比較
【矯正治療前 2018.8.14】
【矯正治療後 2021 .2.13】
噛み合わせの高さが変わったことにより口唇の前突感が抑制されました。
Eライン(赤線)から口唇までの距離が変わりました。
矯正治療前は下顎が突き上げるように噛んでいたため、オトガイ筋が緊張しやすかったが、矯正治療後は余分な緊張のない爽やかな顔貌になりました。
歯軸が改善され、上口唇と歯茎の位置が適切になったため、歯の見え方が理想的になりました。
歯並びの比較
【矯正治療前 2018.8.14】
【矯正治療後 2021 .2.13】
アーチが拡がり、垂直的被蓋量も理想的になり、口腔内が広くなりました。また、上下の正中が揃い、噛み合わせのバランスが整いました。
偏心運動
【矯正治療前 2018.8.14】
【矯正治療後 2021 .2.13】
下顎の運動における、上下の歯の異常接触がなくなりました。
レントゲン写真による比較
【矯正治療前 2018.8.14】→【矯正治療後 2021 .2.13】
下顎の奥歯の傾きが整直して改善し、咬合平面が理想的になりました。
セファロレントゲンによる分析
▼画像はクリックで拡大します
- pm-ad2が改善(18.2→21.2)→上咽頭部が拡がった・・・ ①
- PNS(後鼻棘点)が挙がった・・・②
- N –S –Ba(脳頭蓋角)が小さくなった・・・③
「上咽頭部が拡がる」、「後鼻棘点が挙がる」、「脳頭蓋角が変わる」といったことは、一般的にはありえない現象で、普通の矯正ではできません。
【N-S-Baとは】
脳頭蓋角のことで、図中の青線の角度です。一般的に下顎後退の骨格では大きく受け口の骨格では小さくなります。骨格的な改善がみられると脳頭蓋角が変化すると考えられます。
【PNSとは】
後鼻棘点(黄色の点)のことで、上顎骨が後方回転すると下方に下がります。
【Pm-ad2とは】
図中の赤線の間の距離で、広い方が鼻呼吸環境が良くなります。
▼画像はクリックで拡大します
- 上下顎前歯の角度が正常化
(U1-AB.L1-AB《上下前歯の傾斜角》が小さくなった)→前突だった前歯が改善 - 過蓋咬合が改善
(LFHが小さくなった)次項参照→下顎前方回転誘導 顔貌の変化に影響
Lower Facial Height
【LFHとは】…LFHとは、レントゲン中の水色のラインで示す角度のことです。
標準が49°ですが、術前は56.4°と大きく、過蓋咬合ながらも下顎は後方回転している状態でした。レントゲンを見ても分かるように、上顎前歯の位置、咬合平面が理想的になったことから、術後は下顎が前方に回転して49.1°になりました。
(黄線:脳頭蓋角 青線:LFH)
- 舌骨位が挙がった
C4C5であった舌骨位がC3C4に挙がった
前歯の被蓋量を見てもわかるように過蓋咬合でありながら、骨格的にはHigh angleで下顎後方回転傾向だった(LFH:56.4)
上顎の歯牙を圧下しながら平面をFLATに再構成し、下顎を前方回転誘導することによって、ガミースマイルを改善しながらLFH:49.1になりました。
Better Face
とても良い顔貌になりました。













































