矯正治療よって咬み合わせと不定愁訴を改善した症例
矯正治療よって咬み合わせと不定愁訴を改善した症例
こちらの患者さまは、咬み合わせの不良や口が開きにくいこと、顎関節の不調、さらに首や肩のこりや痛みを主訴として来院されました。
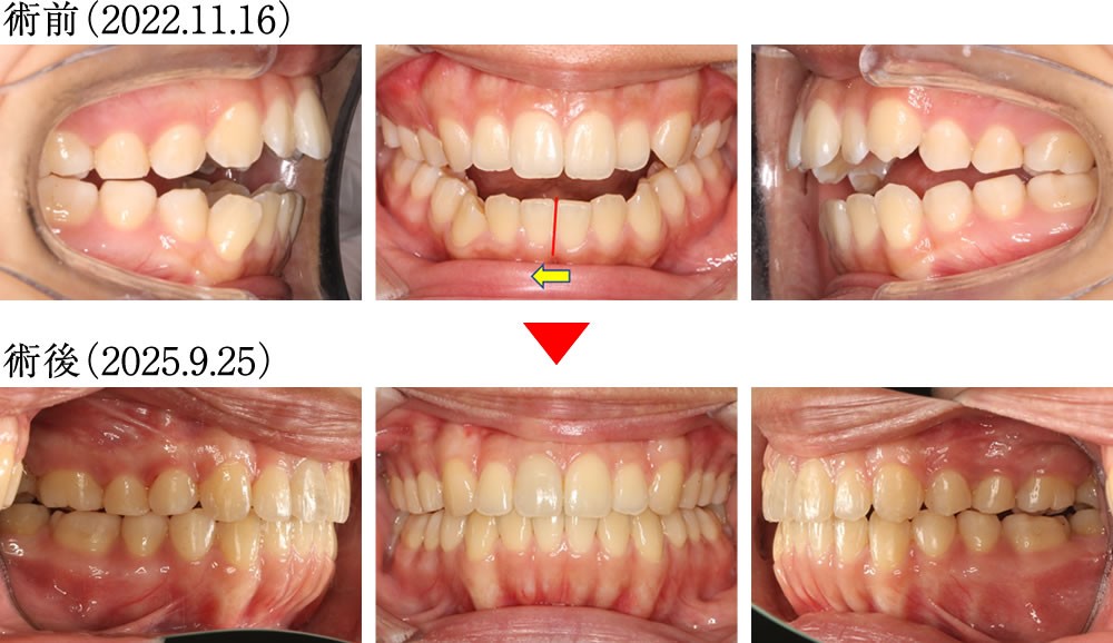
術前では、前歯が噛み合わず、上下顎の正中がズレた歯並びでした。術後は、上下の正中が揃い理想的な被蓋関係で噛み合ったキレイな歯並びになりました。
歯列が拡がったことにより、バッカルコリドー(笑った際に上の歯列と頬の内側との間にできる「黒い影」)が大きく改善されました。
術前は、前歯と犬歯がまったく機能していない歯並び・咬み合わせでしたが、術後は、前歯と犬歯が正しく機能する、理想的な咬み合わせとなりました。
偏心運動の変化
偏心運動:上下の歯が噛み合った状態から、下顎を前方・左右方向へ動かすこと
術前は、前歯と犬歯がまったく機能していない歯並び・咬み合わせでしたが、術後は、前歯と犬歯が正しく機能する、理想的な咬み合わせとなりました。
治療前後の不定愁訴の比較
不定愁訴が「86」から「23」に改善しました。
治療前後のレントゲン画像
術前は、前歯が噛み合わず、下顎が大きく後方回転した状態でしたが、術後は、前歯がしっかり閉じて噛み合うようになり、正しい被蓋関係の歯並びとなりました。また、下顎が前方回転して整ったことにより、口唇閉鎖時の唇の形態が改善され、舌骨も大きく前方に偏位しました。
下顔面高の変化
術前は、下顔面高(ANS–Me)が標準偏差を超えて77.4ありましたが、純粋な下顎の前方回転により、標準偏差内の75.5へと改善しました。
頭位の変化
術前は、強いスニッフィングポジションが認められましたが、術後は、標準頭位に近い姿勢へと改善しました。
スニッフィングポジション:頭部をやや前に出し、顔を少し上向きにした姿勢。
顔貌の変化
術前は、オトガイ筋を緊張させて口唇を閉鎖している状態でしたが、術後は、力みによる緊張がなく、自然な口元となりました。
| 年齢・性別 | 10代 女性 |
|---|---|
| 主訴 | 咬み合わせが悪くて口が開きにくい、顎関節の調子が良くない、首肩のこりと痛み |
| 治療期間 | 2年10ヵ月 |
| 治療回数 | 約40回 |
| 治療費 | 咬合診断 60,500円(税込) 3次元GEAWワイヤー矯正 968,000円(税込) 月調整料 5,500円(税込)x毎月 インプラントアンカー 1本22,000円(税込)×2 リテーナー 82,500円(税込) |
| リスク | 矯正治療中の虫歯や歯周病のリスク、歯の移動に伴う痛みや違和感、歯肉退縮や歯根吸収 |














