出っ歯・顎関節症の症状を改善
出っ歯・顎関節症の症状を改善した治療
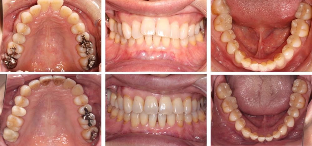
上下顎の奥歯が内側に倒れ込んで上顎はV字状になっており、噛み合わせが低くなっていることにより前歯が出っ歯になっていました。噛み合わせが低いので顎関節にも負担がかかって症状が出ていました。
拡大床により上下の顎を広げて、倒れている奥歯を起こしながら矯正治療を行い、低い噛み合わせを調整、前歯を引っ込めて見た目を改善しました。噛み合わせが改善したことにより、顎関節の負担が軽減され、顎の症状が消失しました。出っ歯が改善して歯並びが良くなり、見た目も良くなりました。
| 年齢・性別 | 40代 男性 |
|---|---|
| 主訴 | 前歯の出っ歯を治したい。顎の調子が悪く、固いものが噛みにくい。 |
| 治療期間 | 2年 |
| 治療回数 | 30回 |
| 治療費 | 1,155,000円(税込) 月の調整料5,500円 |
| リスク | 後戻りや歯根吸収、虫歯、歯の移動中の痛み |



