歯ぎしり・食いしばりによる様々な不調を矯正治療で改善した症例
歯ぎしり・食いしばりによる様々な不調を矯正治療で改善した症例
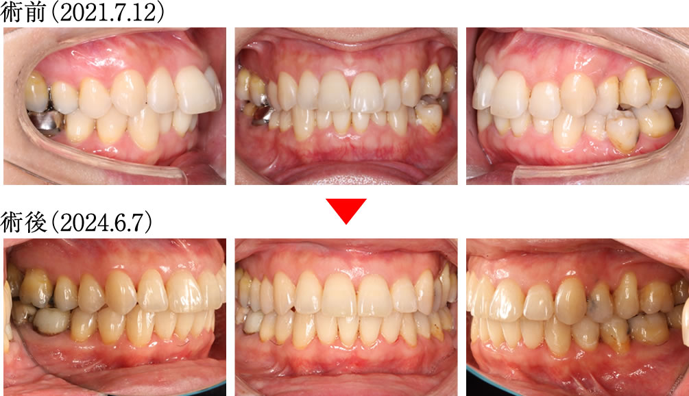
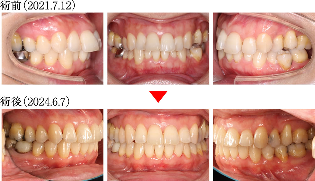
こちらの患者さまは、歯ぎしり・食いしばりによる様々な不調を主訴で来院されました。患者さまと相談し、矯正治療によって歯ぎしり・食いしばりを改善する計画を立てました。
術前は前歯の噛み込みが深く、奥歯も正しく噛み合わない不安定な歯並びでしたが、術後は前歯から奥歯までバランスよく整い、理想的で美しい歯並びへと改善されました。
術前は歯列が狭く、歯並びも乱れていましたが、術後は歯列がダイナミックに拡大し、すべての歯が理想的に整列した美しいアーチとなりました。さらに親知らずも歯列に参加し、正しい位置に並んでいます。
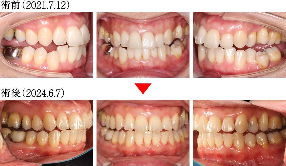
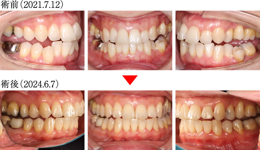
左下の親知らずを有効に活用することで、咬合の再構成が可能となり、機能的な噛み合わせを実現しました。
偏心運動の変化
偏心運動:上下の歯が噛み合った状態から、下顎を前方・左右方向へ動かすこと
術前は下顎を動かした際に犬歯が全く機能しておらず、不安定な噛み合わせでしたが、術後は前歯と犬歯が正常に機能するようになり、安定した理想的な咬合へと改善されました。
術前術後の骨格の変化
術前は前後的に段差のある二面構造の咬合平面で乱れが見られましたが、術後は咬合平面が理想的なフラットに近づき、バランスの取れた噛み合わせへと改善されました。
また、術前は下顎前歯が後退し、前歯の噛み込みも深い状態でしたが、術後は前歯の位置と角度が理想的に整い、上下の唇のシルエットも美しく改善されました。
顔貌の変化
上下唇が理想のラインに近づきました。
口元が自然な形態になり、口角が上がりました。
治療前後のレントゲン画像
術前は左下の奥歯が欠損している状態でしたが、親知らずを有効に活用することで、理想的な咬合構造で歯並びを再構築することができました。また、歯軸も整直され、機能的かつ安定した口腔環境が実現しました。
| 年齢・性別 | 40代 女性 |
|---|---|
| 主訴 | 歯ぎしり・食いしばりによる様々な症状 |
| 治療期間 | 2年11ヵ月 |
| 治療回数 | 約45回 |
| 治療費 | 咬合診断 60,500円(税込) 上下拡大床 121,000円x2 3次元GEAWワイヤー矯正 968,000円(税込) 月調整料 5,500円(税込)x毎月 リテーナー 82,500円(税込) |
| リスク | 矯正治療中の虫歯や歯周病のリスク、歯の移動に伴う痛みや違和感、歯肉退縮や歯根吸収 |










