抜歯矯正で健康被害が生じたケースの治療症例
抜歯矯正で健康被害が生じたケースの治療症例
こちらの症例は、他院にて上顎左右4番となぜか下顎は右下5番のみを抜歯してワイヤー矯正を行った患者さまです。抜歯したスペースが閉じていき、治療が終了に近づくにつれて歯に舌が当たるようになり、口の中が狭く感じるようになりだしたとの事でした。
常に呼吸しにくさを感じていて、息苦しいのでしっかりとした睡眠も取れず、イビキをかくようになり、精神的にも不安定な状態になっていました。
患者さまと相談し、上下の顎を拡大床にて拡大して舌のスペースを確保することで呼吸しやすい環境を整え、その後に舌を邪魔しないような噛み合わせを構築し、抜歯してしまって空いてしまったスペースにはインプラント治療を行い、失った歯を回復させるよう計画しました。
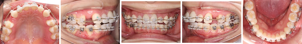
初診時の口腔内
初診時の口腔内写真とレントゲン写真です。上顎左右4番と右下5番が抜歯されています。
矯正治療の実施
上下に拡大床を装着し、顎の拡大と失った歯のスペースを確保します。
顎の拡大が終了し、ワイヤー矯正を開始。失った歯のスペースを確保しながら、舌を邪魔しないような噛み合わせを構築していきます。
骨増大とインプラント治療の実施
右下5番の欠損部にはインプラントを入れるための十分な骨が無かったため、下顎舌側の骨隆起を利用して骨増大を行った後にインプラント手術を実施しました。
※上顎左右4番は通報通りインプラント治療を行いました。
インプラント治療終了直前で仮歯を装着した状態の口腔内写真とレントゲン写真です。
治療完了
インプラントに最終的なかぶせ物を装着して治療完了です。
治療前後の比較
・上下顎ともに顎が拡大して舌のスペースが大きくなりました。下顎は邪魔な骨隆起も除去されてさらにスペースが広くなりました。
・すべての歯が回復したことにより、正しい噛み合わせが構築されました。
・舌が歯に当たる事なく、普段から楽に呼吸ができるようになりました。
・睡眠時のいびきがなくなり、深く眠る事が出来るようになりました。
・精神的なダメージが回復され、毎日を活き活きと生活する事が出来るようになりました。
| 年齢・性別 | 30代 女性 |
|---|---|
| 治療期間 | 約2年8ヵ月 拡大床6ヵ月、ワイヤー矯正2年2ヵ月※途中インプラント治療を行っている |
| 治療回数 | 約50回 |
| 治療費 | 拡大床+ワイヤー矯正+リテーナー1,221,000円(税込) 月矯正治療調整料 5,500円(税込)x約30回 骨隆起除去+ブロックボーン移植+骨と膜→396,000円(税込) インプラント治療 3本分→1,457,500円(税込) |
| リスク | 拡拡大床装着時の違和感や発音障害、ワイヤー矯正時期の虫歯や歯周病のリスク、矯正治療による歯根吸収のリスク、インプラント手術時の腫れや痛みなど。 |












